√100以上 プルームテック グリセリン 肺 154495
まるで、肺の内側が溶かしたバターで覆わ れてしまったような状態で、類脂質肺炎 (lipoid pneumonia)と呼ばれる特殊な肺炎です 1)。同じグリセリンでも、食べるのと、吸引するのとでは人体への影響がまったく異なり ます。る。プルーム・テックは電子タバコとよく似た構造を い込む。溶液には,ニコチンや果物などの匂いの人工 香料,グリセリン,プロピレングリコールなどが含ま か減らず,十分にリスクが高いと考えられる。また肺 グリセリン単体で吸うことはできるの? 身体に害はあるの? こんな質問に答えます。 本記事ではグリセリン単体で吸う場合に知っておいたほうがよいことを紹介していきます! グリセリン単体で吸えるのか 結論から言えば、吸えます。大体の一般的なvgとpgを混ぜ合わせたeリキッドよ
加熱式タバコ ニオイはないが喫味は強い プルーム テック プラス 用新味 メビウス ゴールド ロースト ゴールド クリア ミント メビウス レッド ミント パープル ミント 4種を吸い比べ 19年11月27日 エキサイトニュース 3 4
プルームテック グリセリン 肺
プルームテック グリセリン 肺-次にプルームテックについてみていきます。 ploomTECH (プルームテック) グリセリンなどが含まれたリキッド(液体)を加熱して蒸気を発生させて、タバコカプセルを通すという仕組みなのがプルームテックです。約30℃で加熱するので 低温加熱式 といわれてい やはり加熱式タバコの有害性は低かった! 厚生労働省が測定データを発表! IQOS (アイコス)が世に出てもうすぐ3年ほど経ちますが、その間にgloやプルームテックなど色々な加熱式タバコが人気になりましたね。 その中でも「有害物質を9割削減」や「受動



手巻きタバコ始めました ploom tech プルームテック
果たしてプルームテックは加熱式タバコまたはタバコなんでしょうか? この記事の目次 プルームテックはタバコか加熱式タバコか?その仕組みから紐解く iqosもプルームテックもニコチンを口腔から肺で摂取するのでタバコと言うカテゴリーに分類され プルームテックあるある? プルームテックを吸っていると、何人かに一人くらいの割合で「喉が乾く(痛い)」と感じる人がいます 。 単純にこういう症状が続くと、もしかして身体に悪いのかな?変なものが入っているのかな?と思われるかもしれません。 Ploom TECH(プルームテック) 18年7月、全国のコンビニで発売されるようになり、たくさんの方々に愛用されているPloomTECH(プルームテック)。なんと出荷台数400万台を突破しました。 IQOSは500万台、gloは0万台となり、プルームテックはまさに飛ぶ鳥を落とす勢いです。
アイコス、プルームテックなどの加熱式タバコを使用すると、紙巻きタバコの 倍から500 倍のプロ ピレングリコール、2~3 倍のグリセロールが発生して使用者に吸引されます。 アイコス プルームテック グロー 紙巻きタバコ プロピレングリコー ル 13 プルームテックの煙は肺 プルームテックの成分とされている「グリセリン」、「プロピレングリコール」、「トリアセチン」ですが、これはいずれも香料や化粧品、食品にも使用される安全な成分とされています。 恐らくノーマルのプルームテックも主原料はグリセリンです。 健康には害がなさそうなのでこれをとりあえず継続します。 水飲んでガマン。 それだけです。 単純に乾きが原因なわけですので潤せばよいだけです。これでイガイガも減ることでしょう。
グリセリンによる喉の乾きの対策 グリセリンによる乾きが喉の痛みの原因の可能性があるので、乾燥対策は電子タバコによる喉の痛みや違和感の予防に役立つと思われます。 私自身の経験からすると 夜に電子タバコをたくさん吸った翌日の朝の喉の調子Ploom 定額プラン契約後に、CLUB JTオンラインショップ、全国のPloom Shopでご利用いただける1,500円分のクーポンをお送りいたします。 ※1 CLUB JTゴールドランク付与 Ploomライフを充実させる情報や特典満載の会員限定サイトCLUB JTのゴールドランク限定の特典が



ファンタジー グリセリンでカートリッジを再生して節約しよう Vape 電子タバコ Life



電子タバコに関連する肺疾患 98例の報告 キュート先生の 肺癌勉強会



その有害性 プルーム テック は大丈夫か 石田雅彦 個人 Yahoo ニュース



プルームテックの使い方 吸い方で吸いごたえが変わる 肺吸いと口吸いの違い Puffette



Amazon Heccoプルームテックプラス カートリッジ Ploom Tech 互換 アトマイザー フレーバーカートリッジ ミクスセット 10風味大集合 Hecco カートリッジ



プルームテックとは 電子タバコvapeや紙巻きタバコとの違いも解説 リバティフライツ 日本公式サイト



新型タバコ 加熱式 電子 がもたらす健康被害 横浜弘明寺呼吸器内科クリニック健康情報局



非喫煙者が知っておくべき加熱式タバコの基礎知識 アイコスとプルームテックは受動喫煙被害を引き起こす Healthy Correction



新型コロナ感染症 電子タバコと同様に 加熱式タバコ もヤバいのか 石田雅彦 個人 Yahoo ニュース



電子タバコ 米 電子たばこ関連の肺損傷患者が1080人に 18人死亡 Vapejp



健康に悪くなさそうな加熱式タバコが紙巻タバコと同様にダメな理由 原因と結果 の経済学 ダイヤモンド オンライン



プルームテックのたばこカプセルが余るなら たばこ代の節約ができるかも Vapeインフォ



大ヒットした加熱式タバコ Iqos 対抗馬のjt Ploom Tech プルームテック 喫煙者による実感をがっつり検証 女子スモーカーにもおすすめ ガジェット通信 Getnews



プルームテック カートリッジ 再生方法 リキッドで復活させてカプセル余りを解消する Tabanavi タバナビ



プルームテックプラス互換 カートリッジ 零度 売れ筋 スーパーメンソール味 清涼感メンソール 蒸気量たっぷり 本セット 液漏れ防止



電子タバコをグリセリンのみ 口腔喫煙で楽しむ場合の害紙巻きタバコ Yahoo 知恵袋



加熱式タバコ ニオイはないが喫味は強い プルーム テック プラス 用新味 メビウス ゴールド ロースト ゴールド クリア ミント メビウス レッド ミント パープル ミント 4種を吸い比べ 19年11月27日 エキサイトニュース 3 4



加熱式タバコ ニオイはないが喫味は強い プルーム テック プラス 用新味 メビウス ゴールド ロースト ゴールド クリア ミント メビウス レッド ミント パープル ミント 4種を吸い比べ 19年11月27日 エキサイトニュース 3 4



電子タバコ Vape 関連肺障害と規制問題 Green Zone Japan



手巻きタバコ始めました ploom tech プルームテック



プルームテックの使い方 吸い方で吸いごたえが変わる 肺吸いと口吸いの違い Puffette



加熱式タバコ ニオイの少なさで人気の低温加熱式の新顔 Glo Sens グロー センス をためしてみた 19年9月12日 エキサイトニュース 4 5



おためし新商品ナビ Blog Archive 加熱式タバコ ニオイの少なさで人気の低温加熱式の新顔 Glo Sens グロー センス をためしてみた



電子たばこによる肺疾患が減少傾向 原因はビタミンeアセテートか Techcrunch Japan



1



プルームテックやアイコスで痰が絡む原因は 危険な場合も 電子タバコvapeの選び方



プルーム テック でタバコ代100円 1日を目指す 実践 カートリッジ再生 100円サービス Com



プルーム テック でタバコ代100円 1日を目指す 実践 カートリッジ再生 100円サービス Com



打倒アイコス Jt渾身の新製品はこんな味だ 食品 東洋経済オンライン 社会をよくする経済ニュース



プルーム テック でタバコ代100円 1日を目指す 実践 カートリッジ再生 100円サービス Com



プルーム テック と プルーム テック プラス を比較 低温加熱式タバコはどっちがイイ 価格 Comマガジン



おためし新商品ナビ Blog Archive 比較検証 Jtによる新型次世代タバコ 低温 高温加熱式 プルーム テック プラス Vs プルーム エス 各々のメリット デメリットを2週間連用チェック



プルームテックのたばこカプセルが余るなら たばこ代の節約ができるかも Vapeインフォ



プルームテックの吸い方間違ってた 正しい吸い方 ヨリミチ



加熱式タバコ でも上がる呼吸器の 疾患リスク 石田雅彦 個人 Yahoo ニュース



プルーム テック と アイコス を徹底比較 話題の新方式タバコどっちがいいの 価格 Comマガジン



Ploom Tech プルーム テック とは 値段は カプセルの味もレビュー ベイプブログ



史上最高に濃い味わい メビウス プレミアムゴールド レギュラー 価格 Comマガジン



新型タバコ 加熱式 電子 がもたらす健康被害 横浜弘明寺呼吸器内科クリニック健康情報局



注意 電子タバコ Vapeの害 死者42人 症例数2172人 はがくん 独学を応援する薬剤師 Note



史上最高に濃い味わい メビウス プレミアムゴールド レギュラー 価格 Comマガジン



グリセリンのみでvapeを吸うことはできる 肺への害についても言及 Stoke



その有害性 プルーム テック は大丈夫か 石田雅彦 個人 Yahoo ニュース



プルームテックの煙や汚れ 室内や車内で吸っても平気 害はないの Puffette



プルームテックプラスのリキッド補充する方法 カートリッジを再生する時の3つのコツ



おためし新商品ナビ Blog Archive 比較検証 Jtによる新型次世代タバコ 低温 高温加熱式 プルーム テック プラス Vs プルーム エス 各々のメリット デメリットを2週間連用チェック



Low Fodmapper



米国に続いて中国でもvapeの扱いを中止 電子タバコのなにが駄目で Iqosやプルームテックやgloは大丈夫なの



水蒸気タバコ



プルーム テック と プルーム テック プラス を比較 低温加熱式タバコはどっちがイイ 価格 Comマガジン



必見 コロナが蔓延する今 プルームテックという選択肢が輝いて見えるワケ 騙されたと思って読んでみて 笑 Moqlog



プルーム テック でタバコ代100円 1日を目指す 実践 カートリッジ再生 100円サービス Com



プルームテックに害はある グリセリンは体に悪くて副流煙も有害 Supari スパリ



おためし新商品ナビ Blog Archive たばこスイッチ組向け 初心者でも悩まない 全部入り おすすめvapeセットselect5 プルーム対応機種も有



米国に続いて中国でもvapeの扱いを中止 電子タバコのなにが駄目で Iqosやプルームテックやgloは大丈夫なの



たばこスイッチ組向け 初心者でも悩まない 全部入り おすすめvapeセットselect5 プルーム対応機種も有 ライブドアニュース



プルームテックの使い方 吸い方で吸いごたえが変わる 肺吸いと口吸いの違い Puffette



手巻きタバコ始めました ploom tech プルームテック



その有害性 プルーム テック は大丈夫か 石田雅彦 個人 Yahoo ニュース



グリセリンのみでvapeを吸うことはできる 肺への害についても言及 Stoke



Amazon Co Jp ベプログ Ploom Tech プルームテックカプセル対応 電子タバコ デビューセット スターターキット シルバー レッドブル ドラッグストア



Amazon 国産 改良 Vg 50 Pg 50 混合液メンソール ベースリキッド グリセリン プロピレングリコール 330ml 安全な食添品使用 ルーカスギター Lucas Guitar 電子たばこ用リキッド



Ploom Tech に 脳の機能 の一部に悪影響を与える危険性が Is There A Danger That Ploom Tech Will Have An Adverse Effect On Some Of The Brain Functions 醍醐味エンタープライズ



プルーム テック と プルーム テック プラス を比較 低温加熱式タバコはどっちがイイ 価格 Comマガジン



プルーム テックの人気商品 通販 価格比較 価格 Com



おためし新商品ナビ Blog Archive 加熱式タバコ ニオイはないが喫味は強い プルーム テック プラス 用新味 メビウス ゴールド ロースト ゴールド クリア ミント メビウス レッド ミント パープル ミント 4種を吸い比べ



プルームテックの害を正しく判断するための7つのポイント 電子タバコvapeの選び方



1



Amazon 国産 ハードメンソール 強烈 Vg 60 Pg 40 混合液 ベースリキッド グリセリン プロピレングリコール 330ml 安全な食添品使用 ルーカスギター Lucas Guitar 電子たばこ用リキッド



プルーム テック と プルーム テック プラス を比較 低温加熱式タバコはどっちがイイ 価格 Comマガジン



米国に続いて中国でもvapeの扱いを中止 電子タバコのなにが駄目で Iqosやプルームテックやgloは大丈夫なの



米国に続いて中国でもvapeの扱いを中止 電子タバコのなにが駄目で Iqosやプルームテックやgloは大丈夫なの



プルーム テック でタバコ代100円 1日を目指す 実践 カートリッジ再生 100円サービス Com



Amazon 国産 改良 Vg 40 Pg 60 混合液メンソール ベースリキッド グリセリン プロピレングリコール 330ml 安全な食添品使用 ルーカスギター Lucas Guitar 電子たばこ用リキッド



Vape 手軽 簡単 便利 再生 余り プルームテックプラス X Vapor プラス 互換 カートリッジ 5本セット テック リキッド 充填済み 無味無臭 使い捨て プルーム 特価キャンペーン Ploom アクセサリ Tech カプセル



Vape 電子たばこ使用し疾患と診断の肺 組織損傷の調査結果 有毒な化学物質を吸い込んだ時と似た状態 Vapejp



プルームテックの煙や汚れ 室内や車内で吸っても平気 害はないの Puffette



プルームテックの スカスカ感 を減らし 軽い 感じを改善させる方法 夢と自由と僕



プルーム テック でタバコ代100円 1日を目指す 実践 カートリッジ再生 100円サービス Com



実は身体に悪い Myblu マイブルー って本当に害はないの 根拠を元に考察してみた Clever Lifes



電子タバコ



電子タバコリキッドのvg Pgの違いと意味 比率で味も変わる Capnos たばこ情報サイト



新型 Ploom Tech プルームテック プラス の使い方 発売日 値段 注意点など



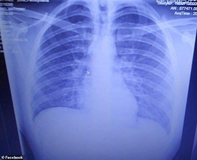
1日2箱の喫煙者の肺 電子タバコの蒸気を2年間吸い続けた少年 肺に油脂が詰まり60歳のヘビースモーカーと同じになってしまう 米国 すもーるnewsちゃんねる



加熱式タバコ でも上がる呼吸器の 疾患リスク 石田雅彦 個人 Yahoo ニュース



プルームテックの害は 含有の成分は



カプセル余る問題への解答 プルームテックプラスはリキッド補充して使うべし Clever Lifes



プルームテックプラスのリキッド補充する方法 カートリッジを再生する時の3つのコツ



香り付き電子タバコ歴2年の19歳 肺は ベーコンの油がべっとり付いた状態 米 ニコニコニュース



大ヒットした加熱式タバコ Iqos 対抗馬のjt Ploom Tech プルームテック 喫煙者による実感をがっつり検証 女子スモーカーにもおすすめ ガジェット通信 Getnews



米国に続いて中国でもvapeの扱いを中止 電子タバコのなにが駄目で Iqosやプルームテックやgloは大丈夫なの



プルームテックは喉が痛い その対策について自分で試したこと Garigari Studio



大ヒットした加熱式タバコ Iqos 対抗馬のjt Ploom Tech プルームテック 喫煙者による実感をがっつり検証 女子スモーカーにもおすすめ ガジェット通信 Getnews



加熱式タバコ ニオイはないが喫味は強い プルーム テック プラス 用新味 メビウス ゴールド ロースト ゴールド クリア ミント メビウス レッド ミント パープル ミント 4種を吸い比べ 19年11月27日 エキサイトニュース 3 4



プルーム テック と アイコス を徹底比較 話題の新方式タバコどっちがいいの 価格 Comマガジン



Amazon 国産 改良 Vg 60 Pg 40 混合液メンソール ベースリキッド グリセリン プロピレングリコール 330ml 安全な食添品使用 ルーカスギター Lucas Guitar 電子たばこ用リキッド



新型タバコ 加熱式 電子 がもたらす健康被害 横浜弘明寺呼吸器内科クリニック健康情報局



プルーム テック と プルーム テック プラス を比較 低温加熱式タバコはどっちがイイ 価格 Comマガジン



おためし新商品ナビ Blog Archive 比較検証 Jtによる新型次世代タバコ 低温 高温加熱式 プルーム テック プラス Vs プルーム エス 各々のメリット デメリットを2週間連用チェック



プルーム テック と プルーム テック プラス を比較 低温加熱式タバコはどっちがイイ 価格 Comマガジン



たばこ 米保健当局 電子たばことの関係疑われる肺疾患について調査 電子タバコもカラダに悪い Whoが見解を発表 Vapejp



Lh3 Googleusercontent Com Proxy Zhgp 5h2268lo6s 6nn3icoe5obe9djz Obbchqbzi9aift4yzykxvf0tv0xw4unhwopc4gaxtvxsxyp0qaiudh Qfmymh6sakmekjilu5ekh Ign8sopsjcuzwee4aujaoebic0lvbh Mfafoag3rokhojjsevorrspnrhnaa



プルーム テック と プルーム テック プラス を比較 低温加熱式タバコはどっちがイイ 価格 Comマガジン



その有害性 プルーム テック は大丈夫か 石田雅彦 個人 Yahoo ニュース
コメント
コメントを投稿